Leczeni pacjenci

Guz lewego kąta mostowo-móżdżkowego

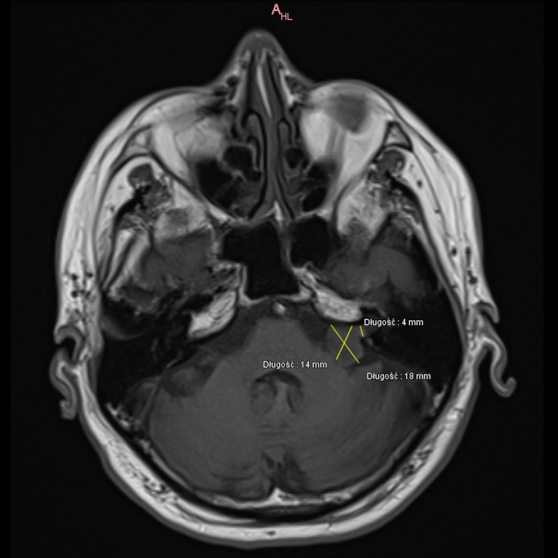
Przed leczeniem (zdj. 1)
Po leczeniu (zdj. 2)

W dn. 15.09.2021 do Poradni Radioterapii zgłosił się chory z niedosłuchem lewostronnym i zaburzeniami równowagi. W wyniku MRI głowy w lewym kącie mostowo-móżdżkowym widoczna była lita masa silnie wzmacniającego się guza, który cienką wypustką wpuklał się do światła przewodu słuchowego wew.

Chory został zakwalifikowany do radioterapii stereotaktycznej - CyberKnife. (MRI celem palowania radioterapii - zdj.1)

W październiku 2021 otrzymał na okolicę kąta mostowo-móżdżkowego po stronie lewej - 3 frakcje po 6Gy - łącznie 18Gy, na izodozę 80% obejmującą obwód zmiany.

W kontrolnym badaniu MR z 06.04.23r: zmniejszył się guz lewego kąta mostowo-móżdżkowego. (zdj.2.). Chory ponadto zgłasza poprawę w zakresie zaburzeń równowagi (występują tylko w nagłej zmianie pozycji ciała) oraz ustępowanie niedosłuchu (od kilku miesięcy słyszy rozmowę przez telefon komórkowy przy uchu lewym, co było niemożliwe przed radioterapią).

zamknij menu
Wielkopolskie Centrum Onkologii logo
Przewiń do góry