Precyzyjna metoda radioterapii umożliwiająca podanie wysokiej dawki promieniowania jonizującego na obszar zmiany patologicznej z zaoszczędzeniem sąsiadujących z nią prawidłowych tkanek.
Efektem leczenia jest obumarcie komórek nieprawidłowych i znikomy negatywny wpływ na zdrowe narządy zlokalizowane wokół zmiany napromienianej.
doświadczenia w leczeniu
radiochirurgią zmian w OUN
leczenia aparatem CyberKnife
leczonych pacjentów
napromienianych zmian
Obecnie posiadamy dwa modele - nóż cybernetyczny CK VSI oraz CK S7.
Więcej o naszych aparatach
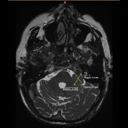
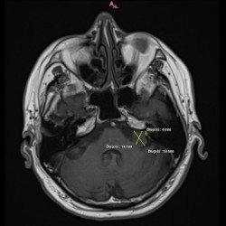
W dn. 15.09.2021 do Poradni Radioterapii zgłosił się chory z niedosłuchem lewostronnym i zaburzeniami równowagi. W wyniku MRI głowy w lewym kącie mostowo-móżdżkowym widoczna była lita masa silnie wzmacniającego się guza, który cienką wypustką wpuklał się do światła przewodu słuchowego wew.
Podczas wizyty konsultacyjnej pacjenta w Poradni Radioterapii, lekarz radioterapeuta podejmuje decyzję odnośnie leczenia metodą radioterapii stereotaktycznej.
W zależności od lokalizacji leczonej zmiany elektroradiolodzy planujący dopasowują odpowiednie unieruchomienie indywidualne dla każdego pacjenta.
Fuzja obrazów MRI i TK, konturowanie obszaru, który ma zostać poddany radioterapii, narządów krytycznych oraz zlecenie dawki przez lekarza.
Po akceptacji przez zespół przygotowanego planu, zostaje on poddany weryfikacji dozymetrycznej.
Pacjent może zjeść lekki posiłek.
Należy przyjąć leki zażywane przewlekle.
Procedura trwa około 20-40min. Napromienianie odbywa się w pozycji leżącej.
Zabieg jest bezbolesny. Nie ma konieczności stosowania leków przeciwbólowych i znieczulających.
Pacjent znajduje się pod stałą obserwacją elektroradiologów, obsługujących aparat.
Mogą pojawić się wczesne efekty uboczne: bóle i zawroty głowy, nudności, wymioty, senność, nadwrażliwość skóry.
Należy poinformować o dolegliwościach lekarza, który zaleci odpowiednie leczenie objawowe.
W zależności od lokalizacji i rodzaju nowotworu, przygotowanie planu leczenia trwa od 3 do 7 dni.
Chory przez rozpoczęciem radioterapii zwykle nie musi specjalnie się przygotowywać. Należy zjeść lekki posiłek rano i przyjąć leki zażywane na stałę.
Seans radioterapii trwa od 15 do 60 minut. W przypadku zmęczenia chorego, na jego prośbę, można zrobić krótką, kilkuminutową, przerwę w napromienianiu.
Teleradioterapia NIE stanowi zagrożenia dla rodziny pacjenta (również dla małych dzieci, ani kobiet w ciąży w otoczeniu chorego). Po wyjściu z bunkra, w którym umieszczony jest aparat terapeutyczny pacjent NIE emituje promieniowania jonizującego.
Po radioterapii może pojawić się: zmęczenie, senność, bóle, zawroty głowy. Wszystkie objawy mają zwykle niewielkie nasilenie i ustępują samoistnie lub po podaniu leków objawowych. O wszystkich niepokojących objawach należy poinformować lekarza radioterapeutę.